VgrS受體細菌組氨酸激酶在NYG培養基中的的生長曲線圖
革蘭氏陰性細菌作為一種單細胞生物,這類細菌在感知外界刺激的過程中,主要利用細胞內膜上的受體監測環境信號。其中,受體組氨酸激酶以蛋白可逆磷酸化方式(磷酸化-脫磷酸化)完成環境信號的跨膜傳遞和信號轉導,發揮著類似高等動物中樞神經系統的作用,因而被研究人員形象地稱為細菌的“智商(IQ)”。本論文的研究人員發現細菌周質空間蛋白酶以不可逆、高度特異的方式修飾細菌的“IQ”,促進細菌抗逆脅迫水平。該研究從遺傳學、酶學和生物物理學方面提出了充分的證據,證明上述過程對于細菌適應脅迫環境的重要意義。
實驗步驟
使用Biosense微生物生長動態監測系統測試了不同類型的細菌及細菌突變體在NYG培養基中的的生長曲線圖,培養維溫度為37度,培養時間為18-84h,每隔30分鐘測試一次OD600值,培養過程中搖晃、生長及OD值的測試全是自動完成的,從而能夠長時間準確的測試出不同類型的細菌在不同條件下的生長情況,獲得相應的生長曲線圖。
實驗結果
在細菌細胞中,組氨酸激酶(HKs)是一種受體,可以監測環境和細胞內刺激。HKs及其同源反應調節因子構成兩個部分信號系統(TCSs),通過可逆的蛋白質調節細胞的穩態磷酸化。然而在病原細菌-野油菜黃單胞菌感染植物的過程中,有一個名為VgrS的受體組氨酸激酶發揮著關鍵作用。VgrS感知寄主體內由固有免疫反應產生的缺鐵環境,調節病原細菌從寄主中爭搶和吸收鐵的過程。VgrS突變或失活后會導致細菌鐵代謝紊亂,致病力嚴重下降。然而,VgrS的功能具有兩面性。當細菌面對高滲脅迫時,VgrS信號通路的激活會嚴重阻礙細菌的生長。為了迅速淬滅該通路,細菌周質空間內的蛋白酶Prc結合到VgrS位于氨基端的信號感知區域,隨即以一種“掐頭不去尾”的方式,特異性切割前9位氨基酸并且抑制VgrS的激酶活性。VgrS被Prc特異性切割失活是細菌對抗高滲脅迫的前提條件。
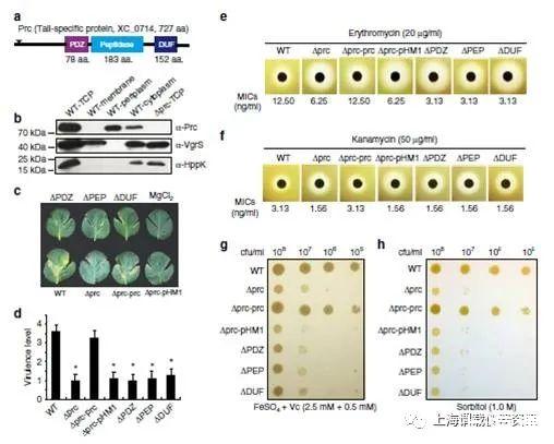
圖1、圖a表示的是Prc蛋白質二級結構示意圖。圖b表的是Prc蛋白是位于細菌周質和細胞溶膠中,采用的是采用Western blot技術檢測不同細胞組分的Prc蛋白。圖c表示的是Prc的失活導致了細菌的毒力的不足。圖d表示的是在圖c中對應的菌株的毒性評價圖,采用了半定量標準測定了菌株的毒力水平。圖e、f表示的是該突變體對多種抗生素(紅霉素e和卡那霉素)敏感性。圖g表示的是Pcr的失活導致了對鐵脅迫的過敏,菌株的培養是在含有2.5mM FeSO4+0.5mM維生素C的NYG瓊脂上,于28℃條件下培養72 h。圖h表示的是Prc的失活導致了對滲透應力的過敏。
圖2、Prc是一種絲氨酸內肽酶。Prc可降解β-酪蛋白,其內肽酶活性依賴于Ser475和Lys500。圖b表示的是通過降解底物的偶氮雜蛋白酶定量研究Prc內肽酶活性。圖c和圖d表示的是偶氮酪蛋白水解酶活性的邁克爾-門登動力學擬合曲線。
圖3、Prc通過切割VgrS的敏感區域來抑制其自身激酶活性。圖a-圖c表示的是Prc以蛋白酶活性依賴的方式抑制全長VgrS的自磷酸化過程。圖d-圖e表示的是Prc在體外降解了VgrS感知寄主體。圖f表示的是Western blotting顯示Prc在體內降解n-末端HA-tags。
圖4、vgrS n端缺失抑制了突變體在滲透脅迫下的生長缺陷。圖a、c、e和g表示的是細菌在NYG培養基中的生長曲線圖。圖b、d、f和圖h表示的是細菌在NYG培養基加上1.0M山梨醇的生長曲線圖。用丹麥Biosense微生物生長動態監測系統測定其其相關的生長曲線分析圖。每個數據點是六個樣本的平均值。
圖5、VgrS蛋白水解引起的細菌應激反應模型。當細菌在滲透脅迫下生長時,Prc被激活并分裂n端肽(NRNIDFFA)對VgrS的感測區具有抑制作用,導致后者的自身磷酸化。
總結
研究發現在病原細菌-野油菜黃單胞菌感染植物的過程中,VgrS的受體組氨酸激酶發揮著關鍵作用。本論文研究從遺傳學、酶學和生物物理學方面提出了充分的證據,證明VgrS突變或失活后會導致細菌鐵代謝紊亂的作用,這對于細菌適應脅迫環境的重要意義。同時研究結果也提示以病原細菌的重要受體作為分子作用藥靶時,在特定生存環境中反而有可能提高細菌的適應能力。研究過程中為了獲得VgrS的受體細菌的生長特性的影響,應用了丹麥Biosense微生物生長動態監測系統測試了不同類型的細菌及細菌突變體在NYG培養基中的的生長曲線圖。該Biosense微生物生長動態監測系統能夠長時間的同時平行測試多個類型的細菌菌株樣品的生長曲線,并且所有的過程都是自動化的,為研究人員提出關于組氨酸激酶VgrS蛋白對于細菌適應脅迫環境的相關機理提供了重要的數據支持。這說明全自動生長曲線分析儀能夠很好的了解不同類型的病菌的生長情況,這能夠為研究人員今后以病原細菌的重要受體作為分子作用藥靶時,在特定生存環境中反而探索有可能提高細菌的適應能力方面進行更為全面、深入的研究。
相關新聞推薦
1、林氏扇頭蜱抗菌肽重組蛋白對大腸埃希菌生長曲線影響及抑菌效果(二)
3、高通量藥敏檢測指導兒童急性白血病個體化治療的初步探索——摘要、資料與方法
