肺炎克雷伯菌生長曲線及小鼠肺炎模型構建
肺炎克雷伯菌是存在于正常人腸道及呼吸道的重要的條件致病菌,它可黏附于機體腔道黏膜表面,分泌多糖基質,形成生物被膜。
細菌形成生物被膜后,常使感染變得難治、易復發。由于胞外黏多糖的屏障作用、通過影響宿主免疫功能及細菌的基因表達等作用,而使其對抗生素產生耐藥。本文將通過肺炎克雷伯菌滴鼻感染小鼠,構建肺炎模型進行案例分析,給與頭孢氨芐治療評估藥效。
表1.動物實驗分組及給藥
用接種環刮取平板上的全部菌落,分別接種到含有5mL新鮮LB液體培養基中,37℃、150r/min振蕩培養至OD600約為0.6-0.8。將菌液依次稀釋為10的負一次方,10的負二次方至10的負九次方,測定OD600,并分別涂板統計菌落數,計算OD值與CFU做生長曲線。
菌體培養離心后用無菌的PBS洗滌重懸3次,根據OD值和生長曲線將菌液調整至合適的稀釋度、經呼吸麻醉后滴鼻感染。
小鼠經滴鼻感染后給藥組給與頭孢氨芐治療(15mg/kg,灌胃),每天一次。
D0采集空白血清,攻毒后觀察動物體重及存活率,根據體重及存活情況暫定感染后于D3,D5每劑量組隨機處死1只,采集血液和肺臟灌洗液測細菌載量,肺臟取樣做HE。
檢測指標:
眼眶取血,靜置1h,室溫離心2500 rcf 15min分離血清,-80攝氏度存儲。
取小鼠全部肺臟,一部分進行細菌載量測定,另一部分4%PFA固定后進行HE染色。
將菌液依次稀釋為10的負一次方,10的負二次方至10的負九次方,測定OD600,并分別涂板統計菌落數,計算OD值與CFU計算生長曲線。
圖1.肺炎克雷伯菌生長曲線
實驗動物的體重作為間接測定感染及治療效果參考指標。研究期間體重測量頻率為1次/天,動物體重的變化趨勢如圖2所示。小鼠經滴鼻感染后體重持續下降,隨著感染細菌量增加體重下降越明顯,經頭孢氨芐治療體重下降趨勢減緩。
圖2.不同組別小鼠體重變化趨勢
肺炎克雷伯菌LD50為6.9*106 CFU/只,滴鼻攻毒后D2-D3小鼠癥狀最明顯,體重下降嚴重,陸續出現死亡,小鼠經過頭孢氨芐治療后狀況優于未治療組;由于菌株毒力較強,攻毒低劑量組存活率高于高劑量組。
圖3.不同組別小鼠生存曲線
小鼠肺臟組織細菌載量隨著接種量的增加而增加,G4組肺組織細菌載量為3.12*108,G2組細菌載量為6.1*108。給與頭孢氨芐治療后細菌載量明顯下降,G1組細菌載量為2*108(圖4)。
圖4.不同組別小鼠肺臟組織細菌載量
圖5:對照組肺臟組織
肺臟組織的被膜結構清晰;肺臟實質為肺內支氣管各級分支及其終末的大量肺泡,灶性肺泡壁輕度增厚(黑色箭頭),肺泡間隔增寬;各級支氣管結構無明顯異常;少量血管周圍結締組織排列疏松(橙色箭頭);少量血管淤血(綠色箭頭);未見明顯的炎性細胞浸潤。
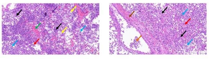
圖6:1*108CFU/只感染組肺臟組織
肺臟組織的被膜結構清晰;肺泡壁薄,大范圍肺泡上皮細胞壞死(黑色箭頭),胞核溶解,胞質嗜酸性增強;肺泡腔內廣泛可見以巨噬細胞、淋巴細胞及粒細胞為主的炎性細胞滲出(藍色箭頭),并可見壞死細胞碎片及少量嗜酸性物散在分布(紅色箭頭),少量肺泡擴張(灰色箭頭),體積增大;大量支氣管及細支氣管腔內可見炎性細胞滲出及壞死細胞碎片(橙色箭頭);此外,細支氣管及肺泡腔內可見大量的藍紫色點狀物細菌聚集(黃色箭頭);組織內可見大量的出血灶(棕色箭頭),肺泡腔、細支氣管及血管周圍可見多量的紅細胞;多見肺泡壁毛細血管淤血(紫色箭頭);少量血管淤血(綠色箭頭)。
肺炎克雷伯菌小鼠LD50為6.9*106 CFU/只,滴鼻攻毒后D2-D3小鼠癥狀最明顯,體重下降嚴重,陸續出現死亡,小鼠經過頭孢氨芐治療后狀況優于未治療組;由于菌株毒力較強,攻毒低劑量組存活率高于高劑量組。
小鼠肺部組織HE顯示肺炎克雷伯菌感染肺部,導致以巨噬細胞、淋巴細胞及粒細胞為主的炎性細胞滲出,大量支氣管及細支氣管腔內可見炎性細胞滲出及壞死細胞碎片,細支氣管及肺泡腔內可見大量的藍紫色點狀物細菌聚集。
相關新聞推薦
1、適用于低鹽發酵香腸葡萄球菌與乳酸菌生長特性及產酸能力測定及篩選(二)
2、滇黃精水提物促進羅伊氏乳桿菌生長增殖和定植的作用機制(一)
