?梅花鹿源A型產氣莢膜梭菌的分離鑒定、測序、毒素型、生化、耐藥性分析(三)
2.4藥敏試驗
藥敏試驗結果如表2所示,該菌株對阿米卡星、多黏菌素 B、鏈霉素、卡那霉素、克林霉素、復方新諾明多重耐藥,對氨基糖苷類藥物耐藥最為明顯,對β-內酰胺類藥物最為敏感。
Sample.分離株樣本M.DNA相對分子質量標準;1.cpa基因;2.cpb基因;3.etx基因;4.Iota基因;5.NetB基因;6.cpe基因M.DNA marker;1.cpa gene;2.cpb gene;3.etc gene;4.Iota gene;5.NetB gene;6.cpe gene
圖4毒素基因PCR擴增結果電泳圖
圖3 16S rRNA基因系統進化樹
表2藥敏試驗結果
R.耐藥;S.敏感;I.中介
2.5小鼠半數致死量檢測及病理觀察
通過預試驗得出分離株的LD。為3.28x 10^{7}CFUcdot mL{}^{-1},text{LD}_{100}為1.76times 10^{8}CFUcdot mL{}^{-1},根據公式計算出r=1.52,根據公比r設置各組攻毒菌液濃度分別為3.28x107 CFU·mL-1(D1)、4.9810^7,CFUcdot mL^{-1}left(D2right)、7.58times 10^7,CFUcdot mL^{-1}left(D3right)1.15X108 CFU·mL{}^{-1}(D4)、1.76times 108 CFUcdot mL{}^{-1}(D5),對照組小鼠腹腔注射0.4mLPBS(H)。注射后2h所有小鼠均不喜動,D4、D5組小鼠部分被毛凌亂、扎堆。4hD1、D2、D3組開始出現被毛凌亂、扎堆癥狀,D3組一半小鼠精神狀態極差,D4、D5組小鼠被毛凌亂加重,D4組死亡3只,D5組死亡2只。6hD3組死亡2只,D4組死亡1只,D5組死亡4只。8hD4組死亡1只。10hD4組死亡1只,D5組死亡2只。20hD2組死亡1只。H組未有
小鼠死亡。各組未死亡小鼠精神狀態恢復,被毛依然凌亂。根據各組小鼠死亡情況,使用SPSS19.0軟件錄入數據,當P=0.5時,LD{}_{50}為7.99x 10^{7}CFUcdot mL,95%置信區間為6.28times 10^{7}sim 1.02x108 CFU·mL1。
剖檢病死小鼠觀察,肝臟腫大,顏色暗淡,質地較脆;脾臟腫大;腸黏膜出血,腸壁變薄,腸道臌臌氣,小腸內有黃色分泌物,與D2、D3組相比D4、D5組腸黏膜出血和腸壁變薄癥狀更為明顯,其余組織未見明顯異常。從試驗組小鼠病理組織中分離到A型產氣莢膜梭菌。
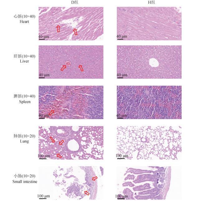
組織病理切片觀察見圖5,與對照組小鼠對比,試驗組病死小鼠心肌纖維斷裂、心肌充血;肝小葉中央靜脈充血,肝竇充血,肝細胞部分索狀結構消失;脾臟紅髓幾乎全由紅細胞充滿;肺泡上皮細胞增生,組織間隙出血,大量炎性細胞滲出;小腸部分黏膜上皮斷裂脫落進腸腔,D2、D3、D4組部分腸絨毛結構消失,固有層裸露,有炎性細胞浸潤,充血,D5組幾乎沒有完整腸絨毛。
D.試驗組;H.健康對照組
圖5小鼠組織HE染色結果
3討論
產氣莢膜梭菌可分泌多種毒素,其中主要致病毒素有CPA、CPB、ETX、Iota、NetB、CPE6種,根據這6種毒素可將產氣莢膜梭菌分為A、B、C、D、E、F、G七種毒素型。本試驗分離株經16S rRNA基因測序和PCR分型鑒定,確定為A型產氣莢膜梭菌。攻毒小鼠致死,并從組織病料中分離到相同菌株,驗證了該分離株的致病性。產氣莢膜梭菌在豬、牛、羊、雞、兔等11種畜禽中廣泛流行,甚至有在野生動物中流行的趨勢。國內最早于1992年由孫立民等在患腸毒血癥的鹿中鑒定出D型產氣莢膜梭菌。隨后陸續在新疆、東三省、云南、河北、山東等地報道產氣莢膜梭菌感染鹿的案例,其中東北地區的報道最多,主要流行的為A型產氣莢膜梭菌,與本試驗的結果一致。羅潤波等對分離的432株產氣莢膜梭菌做了26種藥物的敏感性測試,其中98.61%的分離株表現為多重耐藥。本試驗對分離株進行了21種藥物的敏感性測試,同樣表現出多重耐藥??股厮幬锏臑E用可能是病原菌多重耐藥的主要原因,因此,在生產中應該合理規范地使用藥物,避免病原菌產生多重耐藥。
產氣莢膜梭菌的入侵機體后,會引發炎癥反應,進而導致各組織器官出現炎性細胞浸潤。A型產氣莢膜梭菌產生的外毒素主要為a毒素,a毒素在鈣離子的作用下與細胞膜結合,通過溶解脂類化合物破壞細胞膜,是一種具有酶活性的含鋅金屬蛋白,具有溶血性,還會引起血管收縮和血小板凝集,這可能是引起攻毒小鼠各組織器官廣泛充血的原因。產氣莢膜梭菌存在于正常動物腸道菌群中,攻毒菌液改變了小鼠腸道內環境,導致產氣莢膜梭菌異常增殖并大量產氣使腸道鼓氣充盈,腸壁變薄,與王璞等、吳潔的研究結果一致。本試驗在腎臟和腸內容物中檢測到a毒素,表明該動物體內的產氣莢膜梭菌已大量分泌a毒素并隨著血液循環到了腎臟。
動物模型是現代獸醫科學研究中極為重要的試驗方法和手段,有助于更方便、更有效地認識疾病的
發生、發展規律和研究防治措施。本試驗用A型產氣莢膜梭菌攻毒小鼠致死,且從小鼠病理組織中分離到相同菌株,驗證了該菌株的致病性。感染小鼠出現精神萎靡、腹圍增大,肝臟腫大,顏色暗淡,質地較脆。脾臟腫大,腸黏膜出血,腸壁變薄,腸道臌臌氣等病理癥狀,與鹿感染產氣莢膜梭菌的病理癥狀相似。該結果表明,本試驗的小鼠感染模型很大程度模擬了梅花鹿感染A型產氣莢膜梭菌的病理特征。
4結論
本試驗成功分離鑒定出一株鹿源產氣莢膜梭菌,并驗證了其致病性。檢測該菌株的耐藥性,可為臨床用藥提供參考依據。建立了小鼠感染模型,為構建A型產氣莢膜梭菌鹿感染模型提供參考,也可用于進一步研究A型產氣莢膜梭菌相關疫苗的免疫評價。
相關新聞推薦
3、高通量藥敏檢測指導兒童急性白血病個體化治療的初步探索——摘要、資料與方法
