林氏扇頭蜱抗菌肽重組蛋白對大腸埃希菌生長曲線影響及抑菌效果(三)
2結果
2.1基因克隆鑒定及重組質粒構建與鑒定
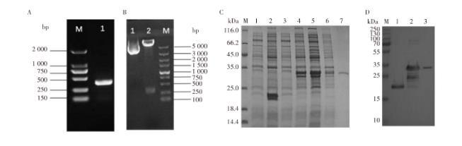
以林氏扇頭蜱的cDNA為模版進行序列擴增,得到與預期大小相符約333 bp的目的條帶(圖1A),對特異性條帶進行膠回收,測序后驗證為目的基因。
圖1 Microplusin-like基因擴增、雙酶切和重組蛋白的表達結果注:A.Microplusin-like基因擴增,M.DL2000 marker,1.Microplusin-like PCR產物;B.雙酶切結果,M.DL5000 marker,1.pCold-SUMO;2.pCold-SUMO/Microplusin-like;C.SDS-PAGE結果,M.14.4~116 kDa protein marker,1.pCold-SUMO空載未誘導,2.pCold-SUMO空載誘導,3.重組載體未誘導,4.重組載體誘導,5.重組載體表達沉淀,6.重組載體表達上清,7.純化后的重組蛋白;D.Western Blot結果,M.10~250 kDa蛋白marker,1.空載體誘導,2.重組載體誘導,3.純化后的重組蛋白。
2.2生物信息學分析
該序列由110個氨基酸組成,CAMPR3預測得分(SVM=1.0,RF=0.991)均>0.5,表明其具有潛在抑菌活性;凈電荷數為-5.25,等電點(isoelectric point,PI)為5.29,判斷其屬陰離子;GRAVY值為-0.016,表明其可能具備一定親水性以溶于液體,為后續發揮抗菌作用奠定基礎;Wimley-White為27.31,表明其可能通過疏水作用破壞細菌膜結構;Boman index為1.33,表明該序列在理論上具有較好的抗菌潛力,可能具備有效的抗菌機制。
2.3重組質粒構建、原核表達及純化鑒定
雙酶切結果顯示,在約5 000 bp和333 bp處各有一條與預期大小一致的目的條帶(圖1B),重組質??捎糜诘鞍妆磉_。SDS-PAGE結果顯示,pCold-SUMO/Microplusin-like蛋白分子量約為29 kDa(圖1C),與預期相符。Western Blot結果顯示,在約29 kDa處出現目的條帶(圖1D),說明重組蛋白的His標簽被對應的抗體識別。
2.4重組蛋白抑菌功能研究
2.4.1抑菌活性分析
重組蛋白對5株大腸埃希菌及1株沙門菌均表現出抗菌活性(圖2),其中對E.coli ATCC25922、E.coli K88的抑菌圈直徑均大于10 mm,表現出中度敏感,對E.coli 1515、E.coli 987P、E.coli K99、Salmonella pullorum CVCC 1791的抑菌圈直徑大于16 mm,表現出高度敏感,對S.aureus CVCC 1882、S.aureus ATCC 43300未出現抑制效果;卡那霉素陽性對照組抑菌圈直徑均大于16 mm,表現出高度敏感,空白對照組和陰性對照組未觀察到抑菌圈出現,該重組蛋白對革蘭陰性菌均具有一定抑制效果,對革蘭陽性菌無抑制作用。見表1。
圖2 Microplusin-like的抑菌圈試驗結果注:A1~A4依次為:E.coli ATCC 25922陽性對照、陰性對照、空白對照、Microplusin-like;B1~B4依次為Salmonella pullorum CVCC 1791陽性對照、陰性對照、空白對照、Microplusin-like;C.E.coli 1515;D.E.coli 987P;E.E.coli K88;F.E.coli K99;G.S.aureus CVCC 1882;H.S.aureus ATCC4 3300;C~H.紅色箭頭為Microplusin-like,綠色箭頭為陰性對照,藍色箭頭為空白對照,黃色箭頭為陽性對照。
表1 Microplusin-like的抑菌圈直徑mm
注:-.無抑菌圈;同一列不同小寫字母表示差異有統計學意義(P<0.05)。
2.4.2最低抑菌濃度及最低殺菌濃度測定
對各供試菌株的MIC及MBC結果表明,重組蛋白對大腸埃希菌及沙門菌具有較高的抑菌活性,除E.coli K88外,最小抑菌濃度均在0.625 mg/mL,但其殺菌活性相對較弱,部分菌株的MBC值超過5 mg/mL,達到了MIC的8倍(表2)。
表2 Microplusin-like的最低抑菌濃度和最低殺菌濃度mg/mL
相關新聞推薦
1、亞胺培南&鹽酸小檗堿可提高對耐碳青霉烯類銅綠假單胞菌抑制作用——結果、討論
2、鯖魚生物胺產生菌篩選、菌落總數、生長曲線測定——摘要、材料與方法
3、梅花鹿體細胞航天誘變、細胞樣品回收培養技術、生長曲線及核型特性(一)
