家兔肺支氣管敗血波氏桿菌生長曲線測定及耐藥性研究(三)
2 結果與分析
2.1 分離株形態觀察、16S rDNA 基因擴增及序列分析
接種病死家兔肺臟組織的 TSB 平板在 37 ℃培養 24 h 后長出白色、細小、透明的單個菌落。革蘭氏染色鏡檢可見陰性短桿菌。用引物擴增分離株 16S rDNA 基因,擴增產物在 1 500 bp 左右有 1 條特異性條帶,產物測序后經 BLAST 比對,發現分離株的 16S rDNA 基因序列與 GenBank 中支氣管敗血波氏桿菌的同源性達 99%。將所得菌株命名為 P201215。篩選來源不同且具有代表性的 14 株其他菌株的 16S rDNA 基因序列,構建與分離株 16S rDNA 的系統進化樹。
2.2 分離株生長曲線測定
在不同培養時間測定分離株菌液的 OD600 值,根據每個時間點測得的菌液 OD600 值繪制分離株的生長曲線。從生長曲線圖可見,分離株按 1% 比例接種于 LB 液體培養基后,2~9 h 為對數生長期,9 h 以后進入平臺期。
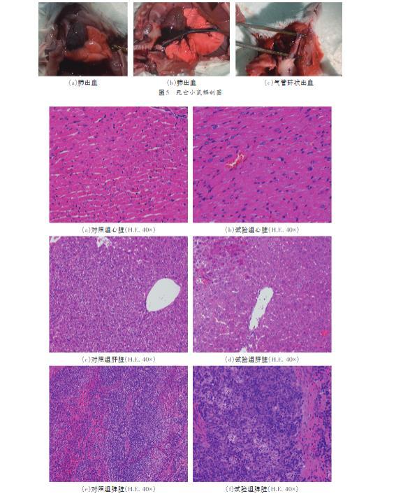
2.3 分離株感染小鼠后的病理學觀察和對小鼠 LD50 測定結果
試驗組小鼠發病時表現為精神萎靡、食欲不振甚至廢絕,扎堆,于 4 d 內相繼死亡。對死亡小鼠進行解剖,肺臟有出血斑,氣管環狀出血。
病理組織切片觀察結果顯示,試驗組小鼠心臟無明顯異常大量肝細胞變形,胞質疏松淡染;脾臟多見凋亡小體;肺臟嚴重出血,肺泡腔內可見大量紅細胞;腎臟無明顯異常。對照組小鼠心臟、肝臟、脾臟、肺臟及腎臟病理切片均無明顯病變。
各組接種菌量、動物數和死亡數見表 2。根據表 2 可知,用 SPSS 軟件計算出該分離株對 SPF 級 KM 小鼠的 LD50 為 1.19×107 CFU。
2.4 藥敏試驗
對分離株進行 β-內酰胺類、喹諾酮類、四環素類及氨基糖苷類的藥敏試驗,結果表明,分離菌株對某些頭孢菌素類藥物耐藥,對大部分 β-內酰胺類、喹諾酮類、四環素類及氨基糖苷類藥物敏感。
2.5 β-內酰胺酶耐藥基因檢測
用特異性引物分別擴增超廣譜 β-內酰胺酶耐藥基因 bla-OXA、bla-TEM、bla-SHV、bla-TEM,結果顯示,4 種基因擴增結果均為陰性,表明 P201215 菌株均不攜帶所檢測的 4 種 β-內酰胺酶耐藥基因。
3 討論
兔波氏桿菌病是兔多發性呼吸道傳染病之一,其病原為支氣管敗血波氏桿菌。本病主要引起呼吸道癥狀,導致仔兔的急性死亡、成年兔的鼻炎、支氣管肺炎和肺膿腫,臨床上多與巴氏桿菌、葡萄球菌混合感染。
本試驗從病死家兔的肺臟組織中分離得到一株細菌,經對菌落形態特征,革蘭氏染色鏡檢、16S rDNA 鑒定測序及同源性比對后,確定為支氣管敗血波氏桿菌。采用振蕩比濁法測定了分離菌株的生長曲線,結果表明,分離株以 1% 的接種量在 LB 液體培養基中振蕩培養時,2~9 h 處于對數生長期,9 h 以后進入平臺期。人工感染小鼠試驗表明,該分離株對 SPF 級 KM 小鼠有明顯致病性,半數致死量為 1.19×107 CFU,分離株感染小鼠主要引起肺臟嚴重出血。
根據藥敏試驗結果來看,該分離株僅對部分 β-內酰胺類藥物耐藥,如頭孢呋辛和頭孢噻肟,與牛江婷等、王曉芳等、馬超鋒、卞為民等分離到的菌株的耐藥情況不同。經耐藥基因檢測,分離株并不攜帶超廣譜 β-內酰胺酶耐藥基因 bla-OXA、bla-TEM、bla-SHV 和 bla-TEM。這可能與地域差異或流行菌株的不同有關,本試驗的藥敏結果適合指導當地兔業合作社的臨床用藥,但也能為不同來源的兔支氣管敗血波氏桿菌的用藥方案提供參考。
4 結論
本試驗從死亡家兔肺臟中分離到 1 株支氣管敗血波氏桿菌,測定了該分離株的生長曲線,確定其對數生長期為 2~9 h,處于該時期的細菌活力及致病力均最強。測定了分離株對 SPF 級 KM 小鼠的 LD50 為 1.19×107 CFU。藥敏試驗結果表明,該分離株對所選用的 14 種抗菌藥中的 2 種耐藥。耐藥基因檢測結果表明,分離株并不攜帶超廣譜 β-內酰胺酶耐藥基因,分離株不具有多重耐藥性。兔支氣管敗血波氏桿菌是目前威脅養兔業發展的重要病原菌之一,本試驗結果對其進行生長規律、致病性及耐藥性的研究有助于為臨床用藥及后續深入研究提供參考。
相關新聞推薦
2、土霉素菌渣無害化處理:篩選菌株的生長曲線及產蛋白酶條件(一)
3、熒光分光光度法測定硫酸鹽還原菌SRB菌株標準曲線、生長曲線
